Oncology Care

PET-CT FDG: 700 USD

PET-CT Ga68 PSMA: 1700 USD

Full-Body MRI (3 Tesla): 900 USD

Stereotactic Radiosurgery (SRS): 4500 USD

Radiotherapy Treatment (Starts from): 4000 USD

Radioactive Iodine Therapy (Starts from): 3500 USD

Check-up (Starts from): 900 USD

Lu-177 PSMA Therapy: 9000 USD

Ac-225 PSMA Therapy (Starts from): 16000 USD

Brain Surgery (Starts from): 15000 USD

Breast Cancer Surgery (Starts from): 8000 USD

MIBG Scan (Starts from): 2500 USD

Mesothelioma: Understanding a Rare and Aggressive Cancer

Historical Overview of Mesothelioma

Mesothelioma, a rare but aggressive form of cancer, was first identified in the late 18th century. However, it wasn’t until the early 20th century that medical researchers began linking it to asbestos exposure. The rise of industrialization and widespread use of asbestos in construction, shipbuilding, and manufacturing significantly increased cases of mesothelioma. In the 1960s, Dr. J.C. Wagner published a pivotal study establishing the strong correlation between asbestos exposure and mesothelioma, prompting regulatory measures worldwide.

 

Current Global Statistics on Mesothelioma

Mesothelioma remains a serious global health concern, with approximately 30,000 new cases diagnosed annually. The highest incidence rates are observed in industrialized nations such as the United States, the United Kingdom, and Australia due to past asbestos use. However, developing countries continue to face rising cases due to ongoing asbestos exposure in construction and manufacturing. The disease predominantly affects men over the age of 60, largely due to occupational exposure spanning decades before symptoms emerge.

 

Causes of Mesothelioma

The primary cause of mesothelioma is prolonged exposure to asbestos, a naturally occurring mineral once widely used for its heat-resistant and insulating properties. When asbestos fibers are inhaled or ingested, they embed into the lining of the lungs, abdomen, or heart, leading to cellular mutations and tumor formation. Other potential risk factors include:

  • Secondary exposure: Family members of workers exposed to asbestos can develop mesothelioma from inhaling fibers carried home on clothing.
  • Environmental exposure: Living near asbestos mines or industries that process asbestos increases risk.
  • Genetic predisposition: Some individuals have a genetic susceptibility that makes them more vulnerable to asbestos-related diseases.

 

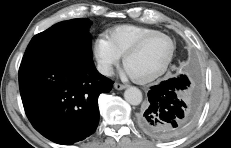
Symptoms of Mesothelioma

Mesothelioma symptoms vary based on the type of the disease but typically do not appear until decades after exposure. Common symptoms include:

  • Pleural mesothelioma (lungs): Persistent cough, chest pain, shortness of breath, weight loss, and pleural effusion (fluid buildup).
  • Peritoneal mesothelioma (abdomen): Abdominal pain, bloating, nausea, loss of appetite, and unexplained weight loss.
  • Pericardial mesothelioma (heart): Chest pain, irregular heartbeat, difficulty breathing, and fluid accumulation around the heart.

 

Diagnosis of Mesothelioma

Diagnosing mesothelioma is challenging due to its long latency period and symptoms that mimic other conditions. The diagnostic process typically includes:

  • Imaging tests: X-rays, CT scans, PET scans, and MRIs help detect abnormalities.
  • Biopsy: A tissue sample is extracted and analyzed to confirm mesothelioma.
  • Blood tests: Some biomarkers may indicate mesothelioma, though they are not definitive.

 

Treatment Options for Mesothelioma

Mesothelioma treatment depends on the stage, location, and overall health of the patient. The most effective approaches include:

  • Surgery: Procedures such as pleurectomy/decortication (P/D) or extrapleural pneumonectomy (EPP) aim to remove tumors and affected tissue.
  • Chemotherapy: Standard treatment to shrink tumors and slow disease progression.
  • Radiation therapy: Used to alleviate symptoms and improve quality of life.
  • Immunotherapy: Emerging treatments that harness the immune system to fight cancer.
  • Multimodal therapy: A combination of surgery, chemotherapy, and radiation for better outcomes.

 

Prognosis and Survival Rates

Mesothelioma has a poor prognosis due to its aggressive nature and late-stage diagnosis. The average survival time ranges from 12 to 21 months, but early detection and advanced treatments can improve life expectancy. Some patients respond well to treatment and survive several years beyond initial expectations.

 

Prevention Measures for Mesothelioma

Since asbestos exposure is the leading cause of mesothelioma, prevention is key. Effective strategies include:

  • Avoiding asbestos exposure: Identifying and properly removing asbestos from older buildings.
  • Workplace safety regulations: Ensuring workers use protective equipment in industries where asbestos is present.
  • Public awareness: Educating communities about the dangers of asbestos.
  • Medical screenings: Individuals with past exposure should undergo regular health check-ups.

If you or a loved one has been diagnosed with mesothelioma, advanced treatment options are available in Istanbul. Contact us today to explore personalized treatment solutions and improve your quality of life.